什么叫骨巨细胞瘤?专家来给你答案
来源:南京太乙堂中医院
【资料】骨巨细胞瘤(giant cell tumor ,简称GCT)为骨原发的良性侵袭性肿瘤,占原发骨肿瘤的20%,早期将其分在低度恶性中,后分为中间性(良恶性之间),现在的分类为良性侵袭性肿瘤(3期)。可以看出骨巨细胞瘤生物学行为复杂,多变。骨巨细胞瘤病因不明。


南京太乙堂中医院肿瘤首席专家戴春海介绍道:骨巨细胞瘤的发病机制目前还不清楚,与其他实质性肿瘤相比,骨巨细胞瘤的瘤组织十分松软脆弱,血供丰富,瘤组织呈红褐色,肉眼可见黄色的含铁血黄素物质沉积,囊样变多见,近边缘部位有时可刮出较硬韧组织,是由于反应性纤维组织成分较多之故,病理检查应在中心部位由典型瘤组织取材,否则会作出错误判断。
瘤组织循环丰富,质软而脆性大,似肉芽组织,易出血,有纤维机化区及出血区,按良性和恶性程度分为三度:
一度:约有一半的巨细胞瘤属于此类,为明显良性,巨细胞很多,少有细胞分裂,注意需全部肿瘤都是一度才能判断为一度肿瘤。
二度:恶性或良性不易区别,间质细胞较多,巨细胞较一度为少。
三度:为明显恶性,发生较少,间质细胞多,细胞核大,形态如肉瘤,细胞分裂多,巨细胞较少而小,核数目亦少,一,二度可转化为三度。
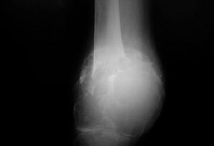
骨巨细胞瘤的好发部位为股骨下端和胫骨上端(膝关节周围),其次为肱骨近端和桡骨远端,其他部位有椎体、骶骨、髂骨、腓骨近端、胫骨远端等等。
患者多为20一40岁的青壮年,占总数的80%以上,男女发病宰相等,50%以上的病例在发病前有损伤历史,肿瘤生长活跃,平均病期为 10个月左右,最早期的主诉为疼痛,其次为肿胀,疼痛不剧烈,无碍睡眠,约有16%的病例系因发生病理性骨折才去医院诊治。
骨巨细胞瘤的临床表现无特异性,当病变破坏骨皮质并刺激骨膜时或当骨的强度下降即将出现病理骨折时,可以产生临床症状,同大多数骨肿瘤一样,往往因局部的肿胀和疼痛而发现。
一、症状
临床症状的程度不一,一般与就诊时肿瘤的大小无关,有的患者因病理骨折而就诊,就诊时已有大范围的骨破坏。
(1)疼痛:早期多见,一般不剧烈,产生的原因是由于肿瘤生长,髓内压力增高所致,发生于脊椎者,肿瘤可压迫神经或脊髓,产生相应的神经放射痛或截瘫,少数病人可因病理性骨折而就医。
(2)局部肿胀、肿块:出现迟于疼痛症状,肿胀一般较轻,由于骨壳膨胀性改变及反应性水肿所致,如病变穿透骨皮质,形成软组织内肿物,则肿胀明显,肿胀逐渐地缓慢增大,有时迅速增大,多属肿瘤内出血所致。
(3)关节功能障碍:长骨骨端肿瘤的局部浸润反应可造成关节功能障碍,肿瘤很少穿破关节软骨,但可造成关节面的塌陷或薄弱,有时肿瘤体积较大,范围超过关节,但X线片所见其关节软骨面尚完整,这也是该肿瘤的特点之一。
二、体征
(1)局部皮温升高,静脉显露:表示病灶局部充血及反应区,特别是骨皮质破坏,形成软组织内肿块时,皮温增高明显,也与该肿瘤血液丰富有关。
(2)骨壳完整且较厚时,触及硬韧的肿物,薄的骨壳可有弹性,骨壳破坏或无骨壳者,呈囊性肿物,有时肿瘤呈现搏动,表示肿瘤充血明显。
(3)发生于脊柱的骨巨细胞瘤,可引起椎体压缩性骨折,脊髓损伤及截瘫,位于骶骨者可引起骶区疼痛,马鞍区麻木及大小便障碍,肛门指诊可扪及骶前肿物。


“扶正祛邪·抗癌消瘤体系”给患者带了新希望,为众多的患者解除了痛苦。
南京太乙堂中医院肿瘤首席专家戴春海指出:人体是一个有机的整体,癌症这个毒邪之所以导致人体发病,就是因为人体的正气不足。正虚邪实是癌症发生的重要因素,正虚为本,邪实为标。在正虚的基础上淤毒内生,进而导致脏腑功能失调和气血运行失常,使体内生理病理产物不能排出,蕴结体内而成癌症。西药学上的手术治疗往往切除病变的癌肿,又转移到其他部位。这种治疗法治局部不顾整体,只祛邪没扶正的结果。
扶正祛邪·抗癌消瘤体系(扶五正、?六邪)秉承中医辨病辩证精髓的基础上,调节五脏六腑的功能状态,恢复人体阴阳平衡、脏腑平衡、气血和调,达到人与自然、人体内部环境的协调。利用天然中草药,一人一方,调节人体内平衡直接抑杀癌细胞,通过刺激淋巴细胞增殖,提高免疫细胞活性,增强免疫功能,拮抗和抑制癌细胞的生长和蔓延,减轻病人临床症状和痛苦,提高患者的生活质量和延长生存期的目的。
查看详情
扶正祛邪·抗癌消瘤体系,标本兼治,解决转移复发难题!
扶正祛邪·抗癌消瘤体系的成功应用具有独创性,打破了传统治疗仅仅以消除肿瘤为目的,从整体出发,围剿癌细胞,攻邪不伤正,标本兼治,缓急双解,具有多靶点、多效性的特点。患者接受该疗法治疗后能有效杀灭癌细胞,抑制肿瘤的生长,进而消除人体的肿瘤,提高生命质量,延长寿命,以达到“扶正而不恋邪”、“?邪而不伤正”的目的。可以多层次、多方位、多角度地抗癌,最大限度地发挥中医药的作用。扶正祛邪·抗癌消瘤体系克服了传统疗法治疗后肿瘤仍然转移复发的不足,解决了肿瘤治疗后转移和复发的世界难题,是中医药治癌史上的重大突破,自应用临床以来已为众多癌症患者重新点燃生命之火。
特别提醒:网上挂号无任何附加费用,主要是为方便及时就诊,也方便医院及时针对您的病情安排医生号。鉴于目前预约繁忙的情况,建议需要咨询预约的患者提前1-3天预约。免费预约电话:025-86389199




















